Back to All Events

JUST GUIDE IT with doctors Félix Wucherpfennig & Miguel Murua in Riga


  • RSU Stomatoloogia Instituut 20 Dzirciema iela Rīga, 1007 Latvia (map)

JUST GUIDE IT

Dr Félix Wucherpfennig & Dr Miguel Murua

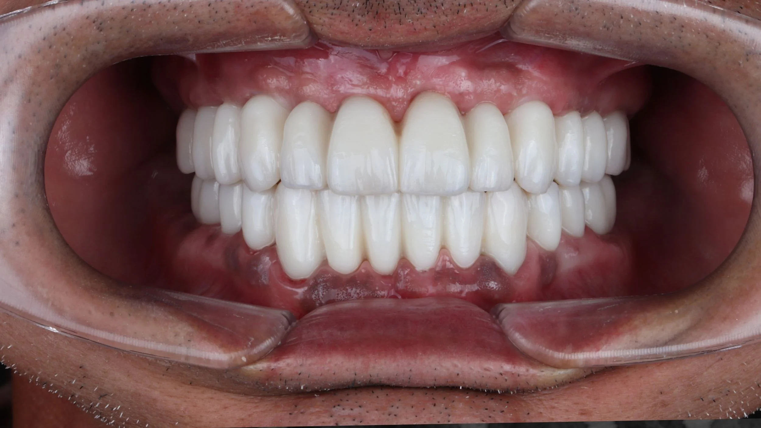
Full mouth rehabilitation can be 100% digital. From planning, to surgery, to final prosthetics.

Would you like to learn, how to do full mouth rehabilitation prosthetics without impression or photogrammetry and still achieve 100% passive fit? Just using intraoral scanner and CBCT.

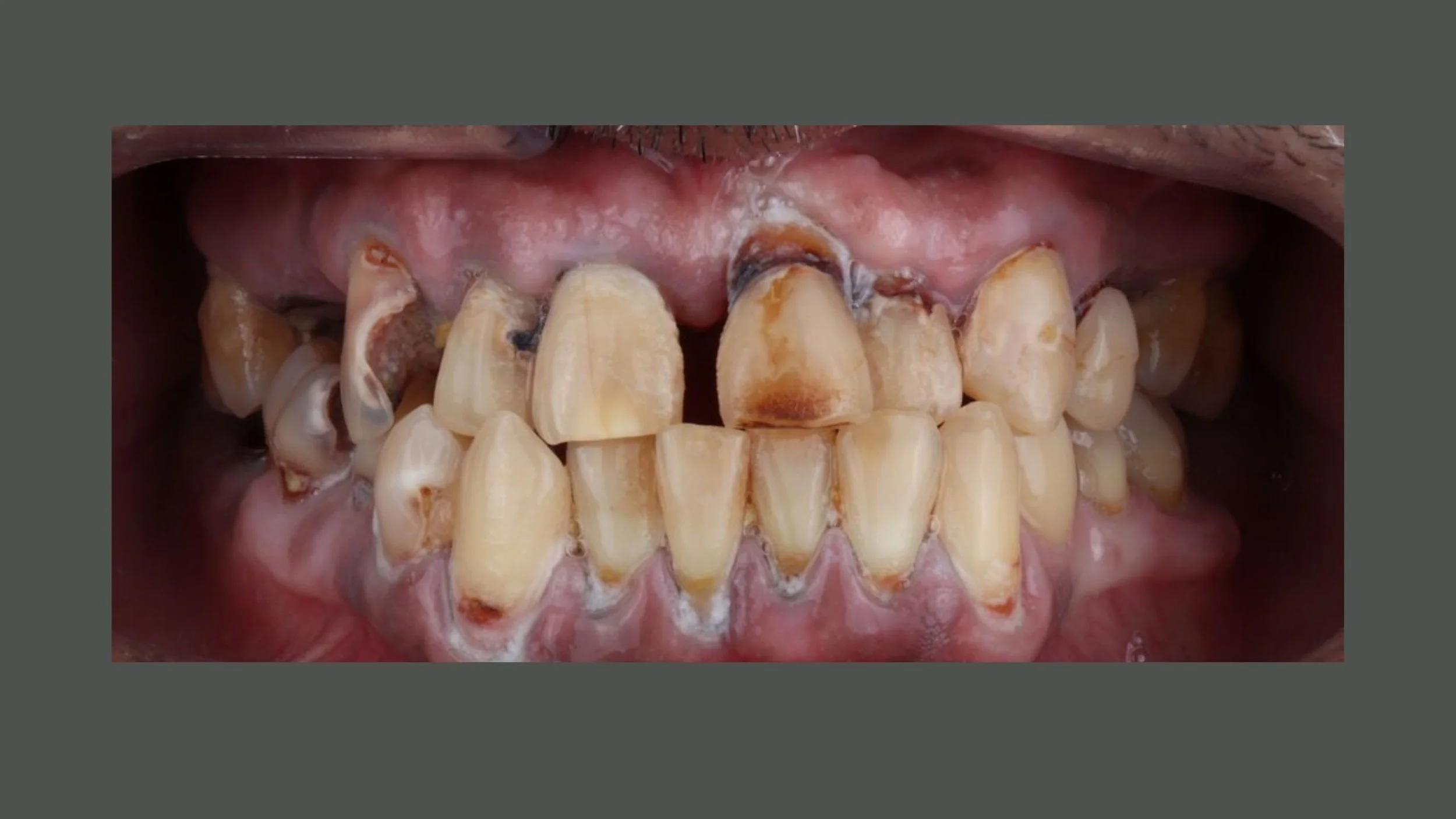
Full-Arch cases or bridges often need the use of MUA abutments. This creates the need to use cilinders or Ti-bases, which sometimes creates a problem, because the Zirconia thickness becomes too narrow or artificial tooth becomes too big.

This course will teach a reproducable method with any implant system:

  1. How to achieve passive fit only with intraoral scanner + CBCT.

  2. How to make Full Arch Zirconia Prosthetics directly to the MUA abutment. Without the need of ti-base / cylinder. Allowing us to achieve stronger prosthetics, less framework fractures, better aesthetics and less cost.

Felix and Miguel have used this protocol over 10 years and can explain, how you can achieve the same result.

They currently have 93% success rate over the years. They have analyzed their failures and can give us understaning, what we need to to in order to avoid mistakes and achieve 99% success rate.

This course gives you the necessary knowledge & allows you to design your implant surgery with DSD design and use accurate surgical guides. Passive zirconia rehabilitation is done directly to the abutment, following a reliable and reproducible protocol.

This course teaches how to design and shape the dental line with immediate patient loading, making FP1, FP2, and FP3 treatments predictable without the need for Ti-base, going straight to zirconia.

To implement this technique in practice, you only need a digital camera, an intraoral scanner, and a CBCT.

THIS COURSE TEACHES:

  • How to achieve a passive fit using only an intraoral scanner and CBCT (no impression or photogrammetry)

  • How to do zirconia prosthetics without Ti-bases in bridges and All-on-X cases

  • How to do 100% digital full mouth rehabilitation

PROOF OF CONCEPT AND USABILITY

  • Up to 10 years of follow-up data with this protocol

  • 300 completed cases (93% prosthetic success rate 2017-2024 on 148 arches)

  • Protocol is reproducible on different implant systems

TIMETABLE

15th of May 2026

  • 9:30-11:00 - First lecture 1.5h

  • 30 min coffee break

  • 11:30-13:00 - Second lecture 1.5h

  • 60 min lunch

  • 14:00-16:00 - Third lecture + Q&A 2h

16th of May 2026

  • 10:00-12:00 - Hands-on with pre-lecture 2h

  • 30 min light lunch and break

  • 12:30-14:00 - Hands-on 1.5h

Full Mouth Rehabilitation 100% Digital

1. Introduction: Digital Rehabilitation with Guided Surgery

  • Use of Guided Surgery software to plan full-mouth rehabilitations entirely digitally (examples on R2Gate)

  • Enables implant surgery design with:

    • DSD Design (Digital Smile Design)

    • Precise surgical guides

2. Passive Zirconia Rehabilitation

  • Performed directly on the prosthetic abutment

  • Based on a reliable and reproducible protocol

3. Dental Line Design and Immediate Loading

  • Ensures predictable outcomes for treatments:

    • FP1: Prostheses simulating only the dental crown

    • FP2: Prostheses simulating the crown and gum

    • FP3: Prostheses replacing additional tissues

  • Eliminates the need for Ti-bases (intermediaries), working directly with zirconia

4. Implementation in Clinical Practice

  • Minimum requirements:

    • Digital camera

    • Intraoral scanner

    • CBCT (Cone-Beam Computed Tomography)

5. Key Benefits

  • Reliable, reproducible, and predictable method

  • Simplifies procedures with advanced technology

Medical case using R2GATE guided surgery and AnyRidge implants

ABOUT THE LECTURERS

Dr Felix Wucherpfennig

Felix is a chartered implant surgeon working in the UK and Spain, specialized in 100% digital implantology and prosthetics. He’s a certified R2GATE trainer, teaching guided surgery and digital smile design in a postgraduate university program. Member of MINEC Spain, his main goal is to restore confidence to his patients.

Dr Wucherpfennig is in charge of the area of 100% digital implants and prosthetics for Crooke Clinics in their centres in Malaga, Alicante, Marbella and Campo de Gibraltar. He also performs surgeries in the 3 Step Smiles clinic, Glasgow (UK).

In 2010, he graduated in Dentistry from the CEU San Pablo University in Madrid, and in 2013 he obtained a postgraduate degree in Implantology from the University of Central Lancashire. Despite having finished his degree more than 10 years ago, he still continues to train because he believes that one must always be constantly learning.

Dr Miguel Murua

Dr Miguel Murua is an implant surgeon specialised in full-arch digital workflows, guided implant surgery, and minimally invasive bone regeneration. He is the co-developer, together with Dr Felix Wucherpfennig, of the patented Socket Extension Alveolar Lock protocol and has longstanding collaborations with MedicalFit and digital dental laboratories.

Dr Murua lectures internationally on digital workflows and regenerative implantology, including in the LASM Cancún and China Tour programs, and develops advanced training modules in guided surgery and digital treatment planning.

INFO

KUUPÄEV JA KELLAAEG: 15.–16. mai 2026 (loeng + praktiline koolitus)

HIND: loeng 250 €, praktiline koolitus 400 €

ASUKOHT:

  • 15. mai 2026 loeng: RSU Stomatoloogia Instituut
    Riia, Dzirciema iela 20 (Dominika Kalveļa auditoorium, 1. korrus)

  • 16. mai 2026 praktiline koolitus: Proimplant Koolituskeskus
    Riia, Bolero keskus, Lielirbes iela 27

Keel: inglise

Pärast registreerumist koolitusel osalemisest loobumine:

  • Vähemalt 4 nädalat enne koolitust - tagastame 100% koolitustasu

  • Vähemalt 3 nädalat enne koolitust - tagastame 50% koolitustasu

  • Alla 3 nädalat enne koolitust - koolitustasu ei tagastata

Kooitusel võidakse teha fotosid ja videomaterjali. Materjale võidakse kasutada Proimplant OÜ ja seotud projektide turundus- ja kommunikatsioonikanalites (nt koduleht, sotsiaalmeedia, trükised). Kui Te ei soovi pildile või videole jääda, palume sellest eelnevalt korraldajaid teavitada.

Previous
Previous
May 6

Posterior Atrophy Management (BD Cuff) + Immediate Molars

Next
Next
May 23

Live course with Dr Rokas Kuprys using ARi, BDCuff and AXA